Mountain West Smiles
  • Isn't it time for the smile you deserve?

  • Dentistry for the entire family

  • Dentures and implants for every budget

  • State of the art facilities

  • Convenient location

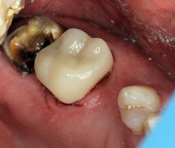
Dental Crowns Really Make A Difference!

Using realistic and attractive dental crowns, Montrose dentist Dr. Cory was able to transform this patient's smile in just days.

Related Services:

Same Day Crowns
A very happy patient

Dr. Cory and his staff are always very friendly and go out of their way to help their patients. I have had three teeth suddenly break. Dr. Cory was able to fill one and crown the other two. All three were taken care of promptly and in one visit as Dr. Cory is able to build and apply the crown in office. The procedures were fully explained to me in advance and the cost of treatment was very reasonable. I've never had any trouble or pain associated with the repairs. I also have very sensitive teeth and Dr. Cory, as well as his hygienist, have made sure that treatments and routine cleanings are done in a way to prevent any discomfort. Dr. Cory will continue to be my dentist as long as he's in practice.
Abby H.

Ready to book an appointment?
If you have difficulty using our website, please email us or call us at (970) 249-4249
View the ADA Accessibility Statement