Six Month Braces in Montrose, CO

 

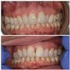
Six Month Braces Montrose | 6 Month Smiles MontroseHave you ever wanted to straighten your teeth or address some cosmetic issues, but the idea of wearing braces for years kept you from making the decision to do it? Dr. Ken Cory has the solution for you. Six Month Braces is a procedure that allows you to improve the appearance of your smile in as little as six months.

At Mountain West Smiles, our patients are concerned with convenience as well as aesthetics. Six Month Braces is effective and fast, allowing our patients to move through treatment quickly and easily so they can get on with their lives.

Solutions for Adults

Crooked teeth are one reason to seek out orthodontic treatment. Many of our adult patients want to make a positive change to their appearance without waiting for years to get results. Many patients would also like to avoid the traditional look of braces because they don’t want it to be a distraction in their careers and social lives.

If your dental health is fine and you just want to feel more confident when you smile, Six Month Braces may be right for you. You can aesthetically improve your teeth without the hassle of years of treatment with metal brackets.

How Six Month Braces Works

The Six Month Braces system uses a high tech archwire to move your teeth gradually into an ideal position. No matter where your teeth are now, this memory wire gradually moves your teeth using slight tension. The light force exerted by the memory wire on your teeth moves your teeth more quickly than traditional tightening methods.

Traditional methods can injure the tooth ligaments, slowing down the orthodontic process. The gentler method used in Six Month Braces focuses on avoiding those ligament injuries so that teeth can move more quickly and comfortably.

We know our patients want to look their best, and that is why we offer nearly invisible Six Month Braces. Clear and tooth colored braces help to disguise both brackets and wires, minimizing their appearance. That way when you speak, smile, or laugh, people focus on you and not your orthodontics.

Treatment Time and Aftercare

Your specific treatment time will depend on your situation and how far your teeth need to move. Once you have an evaluation with Dr. Cory, he can estimate your treatment time. Six months is the average. Some people require less time and some require more in order to achieve optimal results.

Orthodontic Aftercare

Once you go through the effort to move your teeth, we bet you will want to keep them there! That is why we recommend wearing dental retainers. Otherwise, you risk having your teeth shift back to their original location.

Call for an Orthodontic Evaluation

Do you want to improve the appearance of your smile? Call our Montrose dental office for an evaluation with Dr. Ken Cory. Our professional dental team can address your concerns and provide you with solutions that suit your lifestyle.